科研试剂

中量血液基因组 DNA 提取试剂盒(DP332)

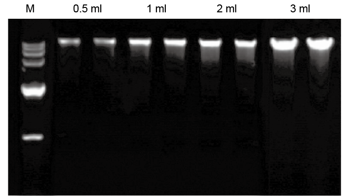
从 0.5-3 ml 血液样本中快速提取高纯度基因组 DNA

未备注医疗备案号的产品均未获得医疗器械注册证,不可用于临床诊断或治疗,仅可用于工业或者科研领域非医疗目的用途。

产品规格
目录号 规格 目录价
DP332-01 10次 350
产品简介

本试剂盒为特别针对 0.5-3 ml 血液样本开发的 DNA 提取试剂盒,适用于各种抗凝剂( 柠檬酸钠、EDTA 等 )保存的全血和血凝块、白膜层等样本的 DNA 提取。采用可以特异性结合 DNA 的离心吸附柱和独特的缓冲液系统,提取血液中的基因组 DNA。离心吸附柱中采用的硅基质材料为本公司特有新型材料,高效、专一吸附 DNA,并可有效去除杂质蛋白及细胞中其他有机化合物。提取的基因组 DNA 片段大,纯度高,质量稳定可靠。使用本试剂盒回收的 DNA 可适用于各种常规操作,包括酶切、 PCR、文库构建、Southern 杂交等实验。

产品特点

简单快速:1 h 内即可获得超纯的基因组 DNA。

■ 超纯:所得 DNA 纯度高,可直接用于 PCR、酶切、杂交等分子生物学实验。

实验结果
相关文档下载

Sort by

Date Date()

Date Date()

Impact Factor IF()

Impact Factor IF()

快捷应用

  • 仪器服务小程序

  • NGS科服小程序

  • 产品订购小程序

  • 客服咨询小程序

  • 微信公众号

  • 直播间

  • 小红书

  • 抖音

  • CoA质检报告