科研试剂

超强高保真PCR试剂盒Ⅱ(KP213)

新型高保真PCR扩增预混液

未备注医疗备案号的产品均未获得医疗器械注册证,不可用于临床诊断或治疗,仅可用于工业或者科研领域非医疗目的用途。

产品规格
目录号 规格 目录价
KP213-01 1 ml 580
KP213-02 5×1 ml 2480
KP213-03 3×5×1ml 7280
产品简介
本产品是一种新型高保真PCR扩增预混液。适用于PCR相关的克隆和检测。一管式预混Mix形式,让实验操作更加简便。产品中的DNA聚合酶具有热启动(Hot Start)功能,可有效的控制低温情况下的非特异扩增和酶活损耗,进而保证了PCR扩增的特异性和稳定性。同时本产品中还整合了PCR Enhancer组分,可以提高Ultra HiFidelity PCR KitⅡ对PCR反应抑制剂的耐受能力和对不同GC含量模板的适应能力,可在扩增高级结构复杂的产物和PCR抑制剂含量较高的PCR体系时添加使用。
适用范围
用于DNA的高保真扩增,如基因表达克隆、基因定点突变、基因组点突变的分析(SNP)等。
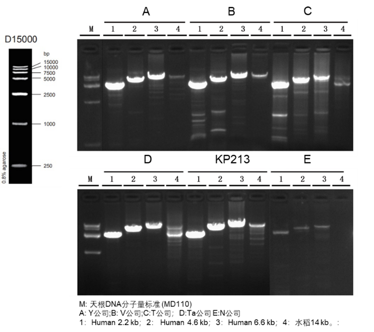
实验结果
相关文档下载

快捷应用

  • 仪器服务小程序

  • NGS科服小程序

  • 产品订购小程序

  • 客服咨询小程序

  • 微信公众号

  • 直播间

  • 小红书

  • 抖音

  • CoA质检报告